Му бил дијагностициран тумор на мозок, секојдневните симптоми не ги сфатил сериозно

Точка

13/03/2026

18:25

1.054

Големина на фонт

а а а

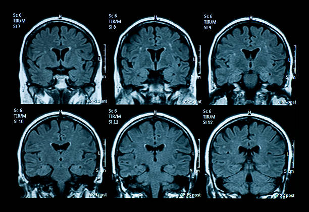
Британецот Крег Александер со години ги игнорирал симптомите на тумор на мозокот, мислејќи дека се последица на стрес на работа. Главоболките, вртоглавицата, треперењето и проблемите со видот ги припишувал на замор, но вистината била многу посериозна. На 35-годишна возраст, по тежок напад, му бил дијагностициран голем тумор на мозокот, што целосно му го променило животот.

„Предупредувачките знаци ги припишував на замор“

Александер раскажа како ги занемарувал знаците што укажувале на сериозна болест. „Кога ќе погледнам наназад, предупредувачките знаци беа таму, но сè припишував на замор, дехидратација и предолги работни часови. Ништо не може да ве подготви за веста дека имате тумор на мозок. Во еден момент нормално работев, патував и живеев, а веќе во следниот се соочував со голема операција на мозокот и многу реална можност да ја изгубам независноста“, рече тој.


За туморот дознал откако доживеал напад во автомобил со колега, по што итно бил пренесен во болница. Прегледите откриле голем тумор со димензии 75 на 35 милиметри, сместен длабоко во централниот дел на мозокот. Бил подложен на операција, како и на радиотерапија и хемотерапија. Поради локацијата на туморот, по интервенцијата извесно време не можел ниту да оди ниту да зборува.


Живот со тумор и борба со системот

Денес, на 38 години, состојбата на Крег се подобрила, иако неговата борба и понатаму трае и се соочува со одредени ограничувања во животот. „Поради катастрофалниот ризик од понатамошни оштетувања, нови хируршки опции за мене не постојат. Живеам со туморот. Во моментов сум фокусиран на своето здравје и на обновување на енергијата“, објасни тој.